今日の手術は、白内障8件と眼内レンズ交換、眼瞼下垂、硝子体混濁の硝子体手術、レンズ偏位の強膜内固定が1件ずつでした。
硝子体混濁は硝子体の中に濁りが生じ、症状としては『目を動かすと、視野に何か濁りが動いて見える』飛蚊症として感じます。通常、飛蚊症は視力に影響することは少なく、外科的治療の適応にならない場合がほとんどかと思いますが、濁りが強くて症状がかなり辛い場合は硝子体の濁りを取り除く手術を行なっています。
手術は硝子体手術になり、眼の中(眼の奥)を操作する手術で、簡単ですごく安全という手術ではないので、手術のメリットとデメリット(リスク)はよく考える必要があると思います。今回の患者さまは48歳でしたが、水晶体は温存して硝子体手術だけ行いました。年齢によっては白内障の手術も一緒に行った方がより安全な手術ができたり、水晶体を温存しても術中操作や術後の経過によっては白内障が進むこともありますし、白内障手術を一緒に行うかも考える必要があります。基本的には50歳という年齢を境に40代であれば、水晶体を残し、50代以降はできれば一緒に水晶体を取らせていただく方がよいかなと思っています。個人個人の白内障の程度や近視、遠視、乱視の屈折により、個別に適応を考えることも大切と思っています。ちなみに、若い人での硝子体手術は硝子体剥離が起こりにくいので、難しい手術になる傾向がありますので、手術するか慎重に考える必要がありますし、基本的にはしない方がよいのかなと思っています。
また、単なる硝子体の濁りと思っていても、腫瘍性の濁りのこともあり、濁りを取って検査へ出すことで診断の意味で手術することもありかと思います。以前、硝子体の混濁が強くて、飛蚊症症状に困っている40代の男性の方に硝子体手術を行いましたが、硝子体を検査に出したところ、『リンパ腫の疑い』という結果が出てしまい、内科で検査を行い、治療を検討されています。この方のように『病的な飛蚊症』も隠れている可能性もあるので、場合によっては手術で濁りを取ることが必要な時もあるかと思います。
もちろん、飛蚊症は安易に手術する病気ではないと思いますので(どんな手術もそうですが)、その適応は慎重に考える必要がありますが、濁りの程度と原因、症状の強さによっては手術での症状改善を考えてもよいのかなと思います。
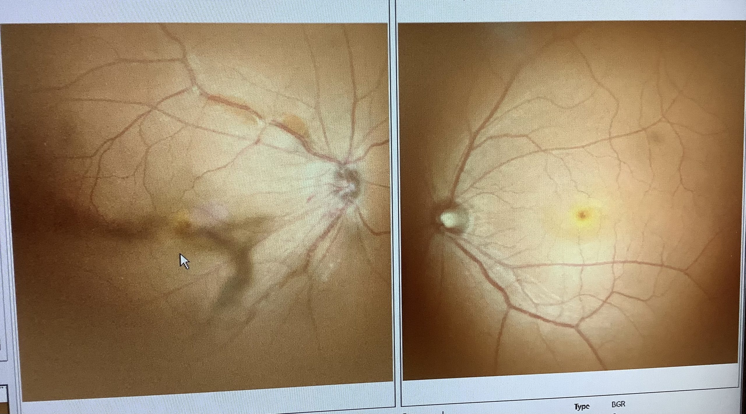
↑今日、手術した硝子体混濁の眼底写真。真ん中の濁りが邪魔だったようです。










