今日は午前のみの外来で手術の申し込みは白内障1人でした。
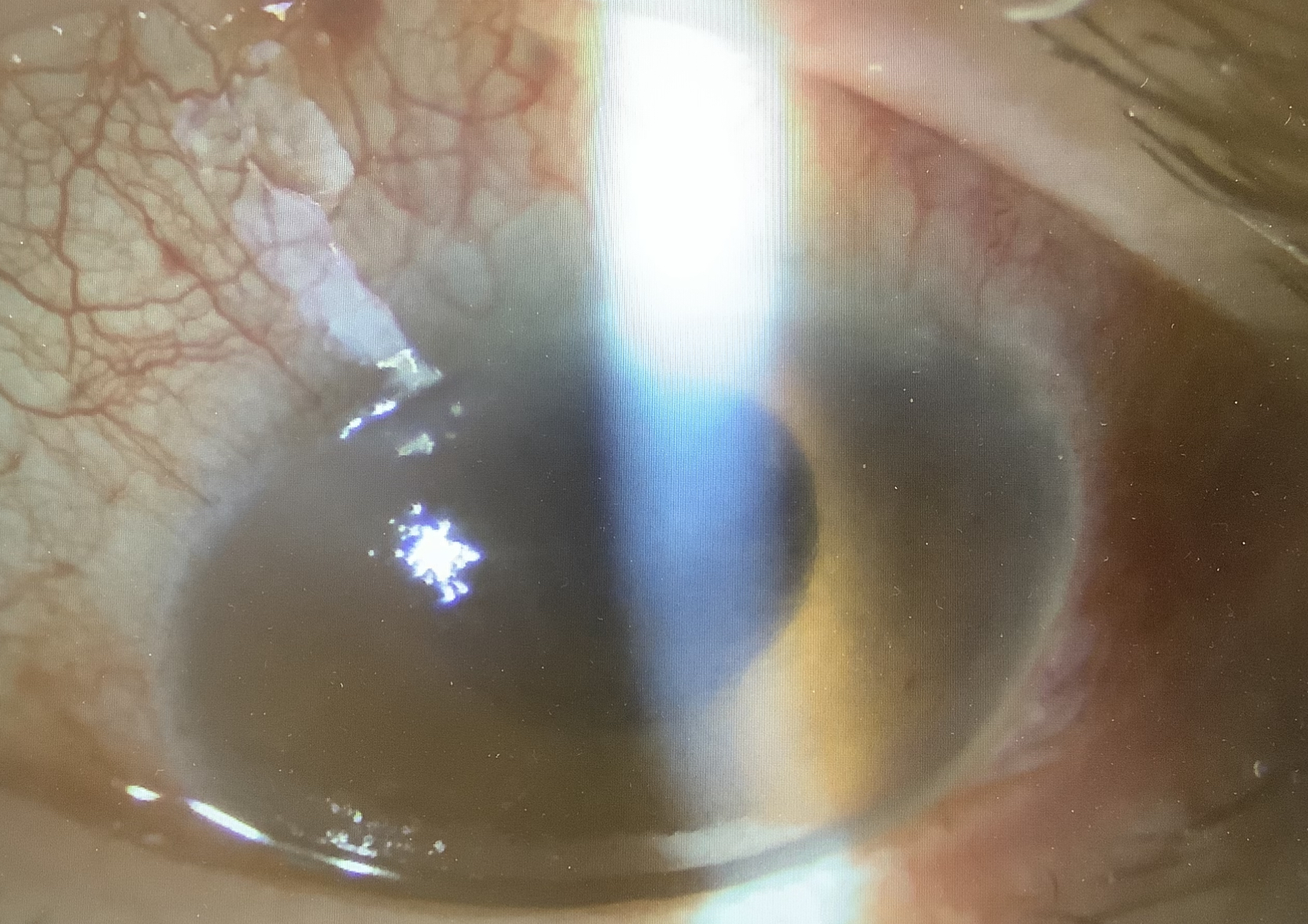
昨日の白内障の手術で後嚢破損した方は眼圧が上がってしまっていました。眼圧が上がると、本来透明な角膜が浮腫んでしまうため、視力はまだ改善が得られない状況でした。また、眼の痛みや頭痛も出てしまい、今日は眼圧を下げる点滴を行い、普段の術後の点眼に加え、眼圧を下げる点眼と内服を追加させていただきました。レンズを入れる時に使うゼリーのような薬剤(粘弾性物質)を多く使ったのですが、最後に眼を洗う操作をA-Vitという器具で行ったので、粘弾性物質が残ってしまったのと、手術時間が長くなり炎症が強く出てしまい、眼の中の水を流す機能が低下したのが原因と思われました。炎症がおさまり、眼の機能が改善するまで眼圧が高い状態が続きそうで、しばらくご辛抱いただくことになり、申し訳ないですが、なるべく神経に負担にならないように、また痛みや吐き気など辛い症状が出ないように対応したいと思います。
今週も皆さま、お疲れ様でしたm(_ _)m











